LSU Diagnostics
Using diagnostics to protect animals and people
LSU Diagnostics (Louisiana Animal Disease Diagnostic Lab) is a full-service AAVLD-accredited laboratory. Housed in the LSU School of Veterinary Medicine, LSU Diagnostics services the people of Louisiana and surrounding states by providing animal disease diagnostic services to agricultural and general communities. LSU Diagnostics enhances research development and adaptation of diagnostic tests and protocols, researches and investigates livestock and companion animal diseases impacting the health and wellbeing of the animals and citizens of Louisiana, and researches selective diseases impacting the economics on the animal industries of Louisiana.
LSU Diagnostics operates in partnership with Louisiana State University, the LSU School of Veterinary Medicine, Louisiana veterinarians, and livestock and poultry producers. LSU Diagnostics also provides support for the teaching and research programs of LSU Vet Med.
Contact Us
River Road, Room 1043
Baton Rouge, LA 70803
Administration: 225-578-9777
Specimen Receiving and Accessions: 225-578-9778
Directions
LSU Diagnostics is located in Baton Rouge, Louisiana, on River Road adjacent to the LSU School of Veterinary Medicine.
The entrance is on River Road near Skip Bertman Drive.
Hours of Operation
Regular Hours
Monday - Friday, 8:00 AM - 5:00 PM

Holiday Hours
LSU Diagnostics will be closed Friday, April 3 for the Good Friday holiday. Please plan to have shipments arrive when the lab is open. Regular testing will resume when campus reopens Monday, April 6. Animals can be delivered after-hours and during the holidays to the LSU Veterinary Teaching Hospital (VTH) on Skip Bertman Drive. For assistance, call 225-578-9600.
Weekend coverage
includes essential but limited services within the bacteriology laboratory.
Necropsy services
are available on Saturdays provided the animal arrives before 10:00 AM on Saturday.
Courier and FedEx Shipping
We offer courier services for a fee in the Baton Rouge, Lafayette, and New Orleans areas. For veterinary clinics and labs throughout the United States, we provide discounted FedEx shipping.
To use FedEx shipping, please print the label from LADDL client portal address. If you have not set up your portal yet, please call 225-578-9777.

Now Available at LSU Diagnostics: High-Sensitivity Mini-FLOTAC Fecal Egg Counts
Diagnosing gastrointestinal nematode and protozoan infections in ruminants is important for assessing individual and herd health and supporting effective herd management. Learn More

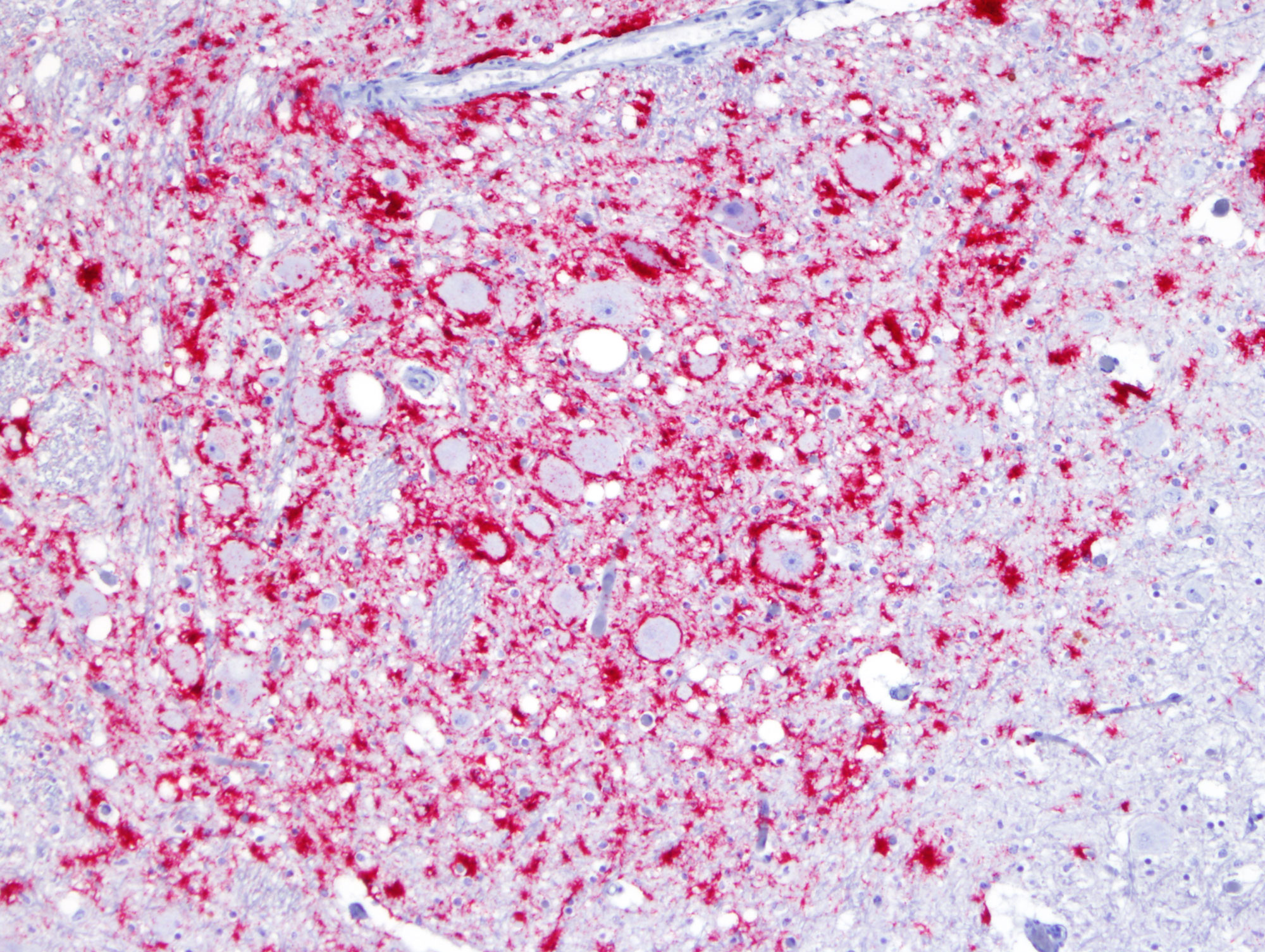
Chronic Wasting Disease
Chronic Wasting Disease (CWD) is a contagious and fatal neurological disease that affects white-tailed deer and other members of the deer family, including mule deer, elk, reindeer, muntjac and moose. It belongs to a group of disorders known as transmissible spongiform encephalopathies (TSEs), which are caused by abnormal, misfolded natural proteins known as prions. Learn More
Support LSU Diagnostics
A general support fund for LSU Diagnostics will be used for new diagnostic assay development and validation, equipment, sending staff members to training programs, staff recognition awards, and educational opportunities for anatomic pathology residents.
You can donate to LSU Diagnostics by mailing a check to
LSU Foundation
3796 Nicholson Drive
Baton Rouge, LA 70802
Checks should be made payable to the LSU Foundation with "LADDL" in the memo line.
If you have questions, please call LSU Diagnostics (LADDL) at 225-578-9777.


